News
AuntMinnie Headlines
- Lung cancer screening reporting reveals incidental finding risk classesby Liz Carey on January 6, 2026 at 7:40 am
Researchers tracked seven prespecified "S modifiers," or clinically significant incidental findings.
- GPT-4o bests radiologists for protocoling abdominal and pelvic CT scansby Kate Madden Yee on January 6, 2026 at 7:28 am
The study findings could improve department workflow, allowing radiologists to focus on "core interpretive responsibilities."
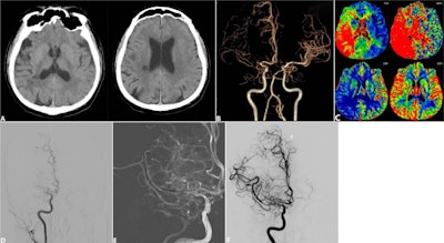
- Adding endovascular recanalization does not improve sNAIAO treatmentby Amerigo Allegretto on January 6, 2026 at 7:08 am
Adding endovascular recanalization does not improve outcomes for symptomatic nonacute intracranial artery occlusion (sNAIAO).
- LLMs help automate PI-RADS classification from MRI reportsby Kate Madden Yee on January 5, 2026 at 8:46 am
The study findings could translate to better patient care, as correct classification of prostate lesions is key to treatment.
- What are Pluvicto discontinuation rates in a real-world setting?by Will Morton on January 5, 2026 at 8:27 am
There is a critical need to predict nonresponders and potential discontinuers prior to treatment.
JACR News
- Feed has no items.



