Alabama Society of Radiologic Technologists
It's Time for Us to Be Seen
What is CQR?
Students
Check out Student Activites and Leadership Opportunities!
2025 – 2026 ALSRT Board of Directors
Pictured left to right: (Top Row) Lawrence McNair, Jr, Executive Board Member; Andrew Preston, Webmaster; Armando Salgado, ASRT SLDP Representative; Dustin Steadham, President; Josh Tucker, President-elect; Kevin Johnson, Vice President; (Bottom Row) Alexis Wade, ASRT SLDP Representative; Jamie Bell, ASRT SLDP Representative; Hannah Deason, ASRT SLDP Representative; Kayla Neely, Junior ASRT Delegate and Secretary; Missy Curtis, Chairman of the Board; Ashley Long, Education Delegate
Upcoming Events
Subscribe
In the News
- Week in Review: Women's Imaging MinnieCast | New Invisible Force episode | DBT-guided biopsiesby Kate Madden Yee
null
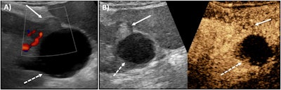
- CEUS outshines color Doppler imaging for indeterminate kidney lesionsby Amerigo Allegretto
CEUS outperformed color Doppler ultrasound in a study focusing on indeterminate kidney lesions.
- New benchmark helps monitor cumulative CT radiation doseby Kate Madden Yee
The findings highlight the need for systematic dose tracking and rigorous justification of imaging.

